Kenapa Scaling Gigi?

Scaling gigi merupakan salah satu metode medis yang digunakan untuk melakukan pembersihan pada karang gigi yang menempel. Selain untuk mengatasi karang gigi melakukan scaling gigi juga dapat menjadi pencegah terhadap gigi berlubang. Dan yang pasti adalah untuk menghilangkan atau membersihkan karang gigi dan juga bau mulut serta noda yang berada pada gigi yang diakibatkan dari minuman seperti kopi.

Ketahui Scaling Gigi?


Scaling gigi telah hadir menjdai solusi untuk mengatasi masalah karang gigi dan bau mulut yang sangat mengganggu kenyamanan dan juga dapat berpengaruh pada turunnya tingkat kepercayaan diri seseorang. Menjalankan proses scaling gigi tidaklah sulit bahkan mudah bahkan tidak perlu menggunakan obat bius. Jika kamu tidak segera melakukan scaling gigi ada beberapa hal yang akan terjadi jika seseorang tidak melakukan scaling gigi diantaranya yaitu :

• Timbulnya masalah pada gigi.
Rongga mulut yang terkena karang gigi berati menjadi tempat kumpulnya bakteri di dalam mulut yang tentunya bakteri tersebut merupakan bakteri yang apabila tetap di biarkan akan menjadi penyebab munculnya penyakit lainnya pada rongga mulut seperti bau mulut akibat dari bakteri yang menumpuk atau juga dapat menyebabkan sariawan bahkan juga kerusakan pada gigi seperti gigi berlubang.

• Terbentuknya gingivitis.
Gingivitis ini merupakan radang pada gusi. Hubungan dengan adanya karang gigi yaitu jika karang gigi terus dibiarkan maka lama kelamaan karang gigi akan mengeras sehingga menjadi penyebab timbulnya gingivitis. Timbulnya gingivitis ini dapat menyebabkan pembengkakan pada gusi dan juga terjadinya radang bahkan menyebabkan gusi mudah berdarah.

• Timbulnya periodontis.
Periodontis merupakan masalah yang ditimbulkan dari munculnya gingivitis. Periodontis ini merupakan masalah yang menyebabkan munculnya sebuah kantong yang akan membuat jarak antara gusi dengan gigi. Sebuah kantong tersebut lama kelamaan akan berisi bakteri. Namun bakteri tersebut akan dihilangkan dengan adanya zat kimia, zak kimia inilah yang akan membuat rusaknya tulang pada gusi yang menyebabkan hancurnya tulang dan gusi.

• Timbulnya penyakit jantung.
Bakteri yang bersarang pada rongga mulut tersebut akan menyebabkan timbulnya masalah periodontitis yang dapat juga menyebabkan resiko munculnya penyakit jantung. Hal ini bisa terjadi akibat dari bakteri yang berada di karang gigi yang dapat berinfeksi pada jaringan bagian penyanggah gigi yang dapat juga menyebar melaluli aliran darah. Hal tersebut dapat berpengaruh pada katup jantung sehingga menjadi pemuci penyakit jantung.

Mobirise

Itulah beberapa hal yang dapat terangkum bagi mereka yang tidak segela melakukan scaling gigi untuk membersihkan karang gigi beserta bakteri dan kuman yang menempel tersebut. Karang gigi akan menjadi tempat penampungan bakteri dan kuman yang dapat menjadikan masalah-masalah lainnya yang tentunya lebih buruk. Untuk itulah siapa saja yang memiliki masalah karang gigi untuk segera membersihkannya sebelum semakin buruk dengan melakukan scaling gigi. Scaling gigi bukan merupakan metode medis yang membutuhkan biaya yang mahal bahkan harga untuk melakukan scaling gigi dapat dijangkau dengan murah.

Biaya nya mahal ya?

Untuk Scaling Gigi hanya

Rp.  175.000

s/d

Rp.  375.000

Hanya Hari Ini

 ̶R̶p̶.̶ ̶7̶1̶0̶.̶0̶0̶0̶
Rp. 595.xxx

Scaling Gigi + Penambalan 1 Gigi

Tunggu apa lagi?

Jangan sampai promonya habis...

Scaling Gigi + Penambalan 1 Gigi

  595 .XXX
  • Harga Normal 7̶1̶0̶.̶0̶0̶0̶

* Promo berlaku khusus di Global Estetik cabang Bandung.

Dapatkan Promo
Super Deal Hari Ini

Saya mau tanya dulu...

Mau tanya atau konsultasi? WA aja!

Promo akan berakhir pada

-

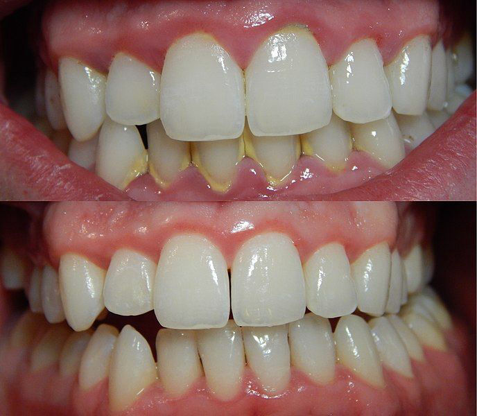
Bagaimana hasilnya?

Mobirise

Tunggu apa lagi?

Jangan sampai promonya habis...

© Copyright 2022 Global Estetik - All Rights Reserved